자연치아 살리기

  • 살릴 수 있다면, 끝까지 지켜드립니다

SEOUL EROUN DENTAL CLINIC

  • 충치치료
  • 정확한 진단과 최소한의 삭제
  • 충치는 진행 초기에 발견하여 치료하는 것이 중요합니다.
    본격적인 진료 전 엑스레이, 구강포토, 현미경 영상을 다각도로 분석하여
    정확하게 진단합니다.
    진료시에는 미세현미경을 사용하여 최소한으로 삭제하고 정밀하게 치료합니다.
서울이로운치과 충치치료
서울이로운치과 신경치료
  • 신경치료
  • 자연치아를 살리는 가장 핵심적인 치료입니다.
  • 충치나 파절이 심한 경우 치아의 가장 안쪽 신경까지 치료를 해야 합니다.
    서울이로운치과에서는 맨눈으로 확인하기 어려운 숨어있는 신경까지
    미세현미경을 이용하여 치료합니다.
    미세현미경을 이용하면 신경치료 성공률을 높이고 치료 후 부작용을 줄일 수 있습니다.
  • 재신경치료
  • 서울이로운치과는 다양한 재신경치료 증례를 보유하고 있습니다.
  • 기존의 신경치료에 문제가 생겨 다시 치료하는 재신경치료는
    의료진의 풍부한 경험과 높은 수준의 전문성이 필요합니다.
    또한 저희 병원은 재신경치료에 필요한 삼차원CT, 미세현미경, 초음파기구 등
    대학병원수준의 장비를 갖추고 있습니다.
서울이로운치과 MTA신경치료
서울이로운치과 보철치료
  • 보철치료
  • 손상된 치아를 편안하고 심미적인 형태로 복원합니다.
  • 광범위한 충치, 파절 등으로 치아의 손상이 심한 경우
    치질을 보강하고 적절한 형태를 부여하여 인공치아를 제작하고 부착합니다.
    미세현미경으로 더욱 정밀한 형태를 만들고 3D 구강스캐너를 이용해
    더 신속하고 정확하게 보철물을 제작합니다.

서울이로운치과 자연치아 살리기 치료케이스

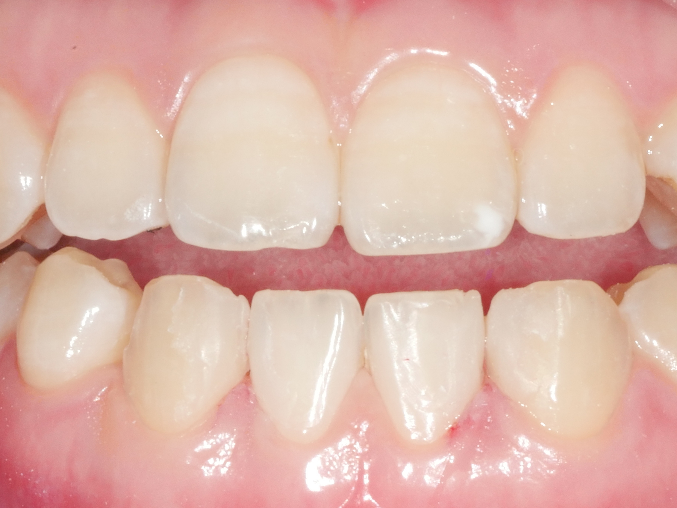
CASE.01 아래 앞니 치아 벌어짐 치료
  • 아래 앞니 치아 벌어짐 치료
  • 아래 앞니 치아 벌어짐 치료

내원 당일 치아 삭제 없이 레진치료

치료전/후 2024.05.07

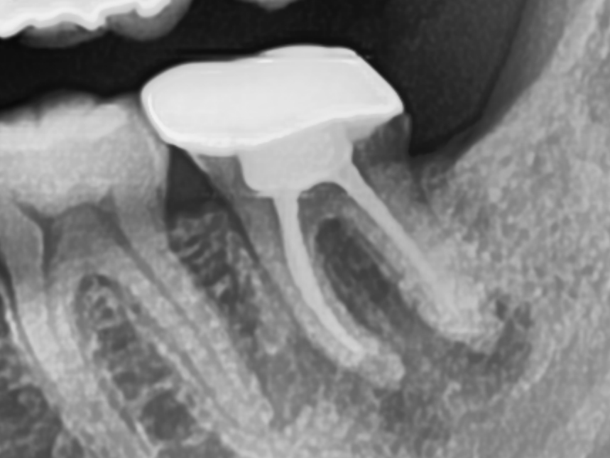
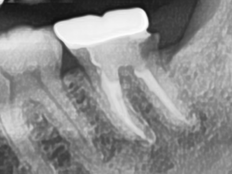
CASE.02 재신경치료
  • 재신경치료
  • 재신경치료

기존 신경치료 부분에 염증이 발생하여 재신경치료를 통해 치료


치료전 2023.01.26 / 치료후 2023.02.27


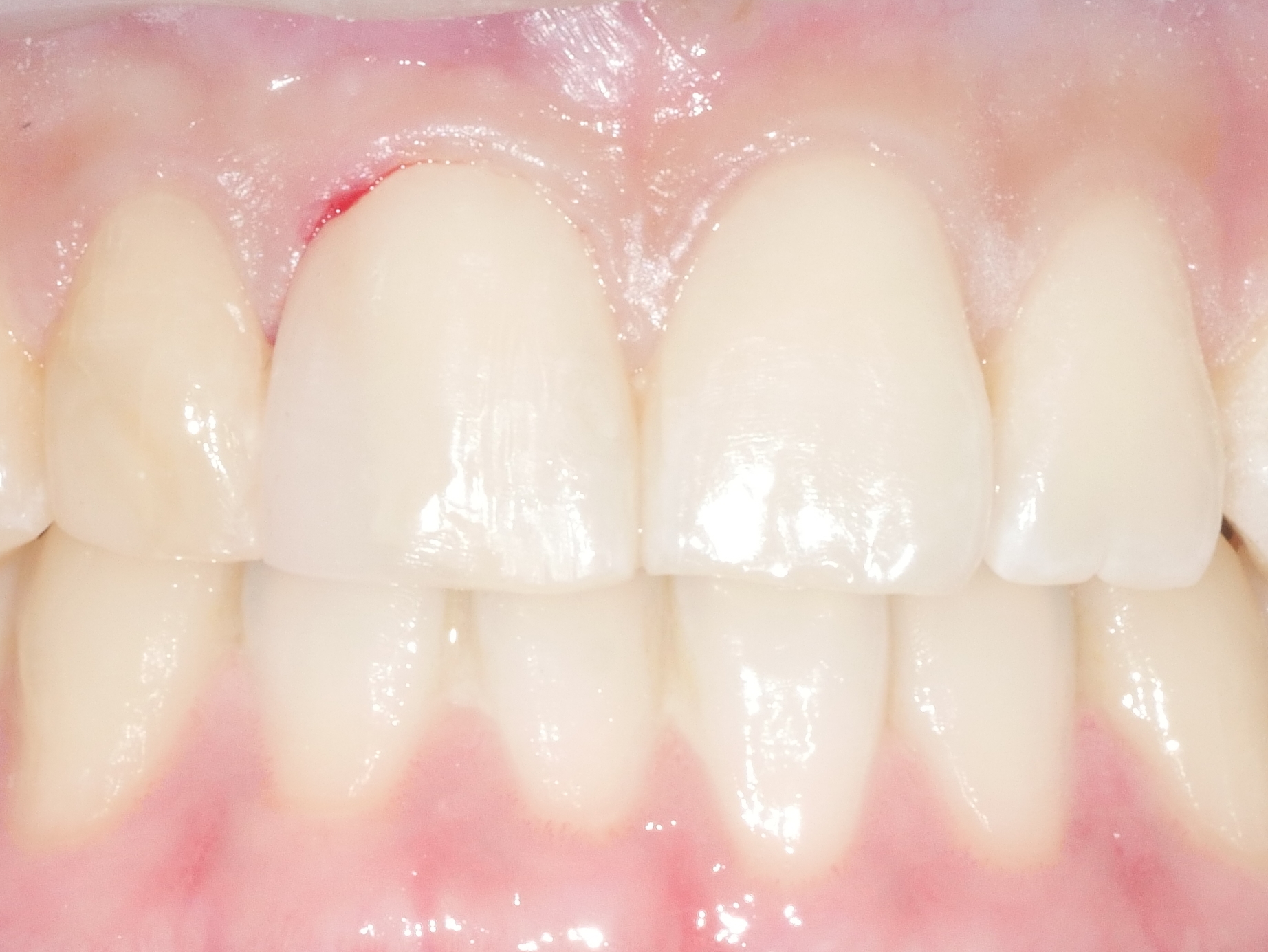
CASE.03 앞니 충치 레진치료
  • 앞니 충치 레진치료
  • 앞니 충치 레진치료

앞니에 생긴 충치와 파절부위를 레진으로 당일 치료


치료전 2025.10.23 / 치료후 2025.10.23

  • Q.
  • 관리자 자주하는질문에 입력하시면 됩니다
  • 관리자 자주하는질문에 입력하시면 됩니다

  • Q.
  • 관리자 자주하는질문에 입력하시면 됩니다
  • 관리자 자주하는질문에 입력하시면 됩니다

  • 상담, 예약
  • 02-747-7528
  • 네이버예약카톡상담
  • 진료시간
  • 월,수,목,금10:00 – 18:30
    화(야간진료)10:00 – 20:30
    토요일09:30 – 13:00
    휴게시간13:00 – 14:00
    일요일 공휴일 휴진
  • 오시는 길
  • 서울 성북구 성북로 11
    청우빌딩 201호
  • 4한성대입구역 5번 출구
  • 스타벅스 한성대입구역점 2층
  • 건물 지하주차장 주차 가능
예약 및 상담문의 +
닫기